Presentación de caso
Dr. Pedro León Acosta1, Dra. Yaslin Perdomo Hernando1, Dr. Yanis Janel Ceballos Nápoles1, Dr. Rafael Pila Pérez1, Dr. Rafael Pila Peláez1.
Fundamento: Presentamos un caso de linfoma renal primario no Hodgkin bilateral de ambos riñones lo cual es infrecuente. Objetivo: Presentar el caso clínico de una paciente que fallece a los cuatro días de su ingreso en el que se descubrió una masa renal bilateral con el diagnóstico anatomopatológico de linfoma renal primario por estudio necrópsico. Presentación de caso: Se trata de una paciente de 40 años de edad, con antecedentes familiares de neoplasias y personales de gastritis de siete meses de evolución. Ingresó por fiebre de 39 oC, dolor abdominal importante, en la cual era importante el síndrome anémico y constitucional con pérdida de 11 kg en los últimos meses; y diuresis disminuida. Se constató una tumoración entre 12 y 15 cm en ambos flancos de superficie irregular dura y no dolorosa. La paciente presentó evolución desfavorable por lo que se traslada a sala de cuidados intermedios. En el estudio analítico se constataron como exámenes de importancia la Hb 89 g/L, la velocidad de sedimentación globular de 95 mm/1era hra, el LDH 1495 UI/L, la creatinina de 537 mmol/L y varias glucemias patológicas una de ellas de 20 mmol/L. El resultado imaginológico tanto la ultrasonografía como la tomografía axial computarizada contrastada orientaron la posibilidad de tratarse de un tumor renal. El medulograma y la laparoscopia no fueron útiles para el diagnóstico. La paciente falleció y se le realizó estudio necrópsico histopatológico, el cual informó un linfoma no Hodgkin bilateral de riñón de células B, sin afectación a otro órgano. Conclusiones: Son infrecuentes los casos de linfoma renal primario, ya que la afectación renal por un proceso linfoproliferativo es por lo general secundaria a una enfermedad sistémica. Este caso cumple los criterios fundamentales de Malbrain para considerarlo como un linfoma no Hodgkin. El diagnóstico se realiza mediante biopsia renal, durante la cirugía o necropsia por estudio anatomopatológico.
DeCS: LINFOMA NO HODGKIN; NEOPLASIAS RENALES.
Palabras clave: Neoplasia renal; linfoma no Hodgkin; criterios de Malbrain.
Background: We present a case of primary renal lymphoma no bilateral Hodgkin of both kidneys which is uncommon. Objective: To present the clinical case of a patient that dies four days of their entrance in which was discovered a bilateral renal mass with the anatomopathological diagnostic of primary renal lymphoma for necropsy study. Case presentation: It is a 40 year-old patient, with family antecedents of neoplasias and personal of gastritis of seven months of evolution. The patient was entered for fever of 39 oC an important abdominal pain, in which was important the anemic and constitutional syndrome with loss of 11 kg in the last months; and diminished diuresis. A tumor was verified between 12 and 15 cm in both flanks of hard and not painful irregular surface. The patient presented unfavorable evolution for what was moved to room of cares intermissions. In the analytic study they were verified as exams of importance the Hb 89 g/L, the speed of globular sedimentation of 95 mm/1era hra, the LDH 1495 UI/L, the creatinine of 537 mmol /L and several pathological glycemias one of them of 20 mmol/L. The x- ray results as much the ultrasonography as the contrasted on-line axial tomography guided the possibility to be a renal tumor. The medullogram and the laparoscopic were not useful for the diagnosis. The patient died and she was carried out histopathological necropsy study, which informed a lymphoma not bilateral Hodgkin of kidney of cells B, without an affectation to another organ. Conclusions: They are uncommon the cases of primary renal lymphoma, since the renal affectation for a process lymphproliferative is in general secondary to a systemic illness. This case completes the fundamental approaches of Malbrain to consider it as a lymphoma non Hodgkin. The diagnosis is carried out by means of renal biopsy, during the surgery or necropsy for anatomopathological study.
MeSH: LYMPHOMA, NON-HODGKIN; KIDNEY NEOPLASMS.
Keywords: Renal neoplasias; lymphoma non Hodgkin; approaches of Malbrain.
Los linfomas malignos comprenden un grupo de enfermedades cuyo origen procede de los ganglios linfáticos o del tejido linfoide de diferentes órganos parenquimatosos.
Los órganos del aparato genitourinario se encuentran afectados en el 50 % de las necropsias realizadas, en los pacientes que padecen de este tipo de patología 1.
Sin embargo en la clínica, los linfomas no Hodgkin (LNH) son poco habituales en el aparato urinario, sólo se demuestran en el 10 % de los casos diagnosticados y sólo se comprueban como procesos primarios en un 1 % 2.
A continuación expondremos el caso de un linfoma renal bilateral clínicamente indistinguible de cualquier otro tipo de tumor renal, cuyo diagnóstico fue por estudio necrópsico e histopatológico.
Paciente femenina de 40 años de edad, ama de casa, con antecedentes de gastritis crónica de siete meses de evolución para lo cual recibió tratamiento con diferentes medicamentos. La esfera ginecológica normal con dos partos a término, no drogas anticonceptivas, no exposición a agentes cancerígenos. Padre fallecido de cáncer de pulmón, y un hermano de hipernefroma. Fue ingresada por fiebre vespertina fundamentalmente de 39 oC con escalofríos, sudoración profusa, acompañada de dolor abdominal difuso más intenso en hipocondrio derecho sin irradiación y que requirió el empleo de antiespasmódicos para su alivio.
Examen físico: palidez cutánea mucosa, afectación constitucional, fiebre de 39 oC, no adenopatías en cadenas ganglionares periféricas, pérdida de 11 kg en los últimos meses. Refirió que en los últimos días tenía una diuresis pobre lo que se correspondía con la fiebre elevada.
Aparato cardiorrespiratorio: normal con tensión arterial de 130/70 mmHg y frecuencia cardíaca central de 100 latidos por minutos. En el abdomen se destacó la presencia de una masa palpable en región de hipocondrio derecho, grande de 12 a 15 cm aproximadamente, móvil con contacto lumbar y en la región izquierda se constató otra tumoración algo más pequeña con iguales características. El resto del examen físico incluyendo examen del sistema osteomioarticular, sistema neurológico, ginecológico y fondo de ojo normales. Rápidamente la paciente agravó su cuadro clínico con afectación del estado de conciencia, disminución importante de la diuresis por lo que se trasladó a la sala de cuidados intermedios donde falleció con los diagnósticos de posible leucemia aguda, hipernefroma, linfoma visceral y diabetes mellitus tipo II paraneoplásica. Los exámenes realizados y que no fueron normales: Hb 80 g/L, hematocrito 0.28 vol %, velocidad de sedimentación globular de 95 mm/1era hora (normal hasta 20 mm/1erahora), LDH 1495 UI/L (normal 130-300UI/L), hierro sérico, conteo de reticulocitos normales, volumen corpuscular medio 70 fL (normal 82-92 fL), creatinina 532 mmol/L ( normal hasta 127 mmol/L), glucemia 20.1 mmol/L( normal hasta 7 mmol/L), ácido úrico 425 mmol/L (normal en la mujer hasta 339 mmol/L), conteo de Addis dos horas: no leucocituria y no hematuria. Orina: hipostenuria, no indicios de proteínas y sedimento normal. Los leucocitos y fórmula fueron normales al igual que las proteínas totales, albúmina, enzimas hepáticas, iones, calcio, fósforo y fosfatasa alcalina, perfil lipídico y pruebas de coagulación. Estudios imaginológicos: Radiografía de tórax en vista postero-anterior normal y ECG sin alteraciones. La ecografía puso de manifiesto ambos riñones aumentados de tamaño de consistencia sólida, heterogéneo, sin calcificaciones, con hepatomegalia irregular. La tomografía axial computarizada (TAC) abdominal evidenciaba la existencia de sendas masas retroperitoneales que oscilaban alrededor de 12 a 15 cm de contornos espiculados en región renal derecha e izquierda y pequeña trabeculación de la grasa adyacente. No se apreciaron adenopatías retroperitoneales ni pélvicas. No invasión de la vena renal. La orientación diagnóstica fue la de un tumor renal. Laparoscopia: muestra hepatomegalia de etiología no precisada; el medulograma: confirmó la presencia de células inmaduras con hiperbasofilia y vacuolas citoplasmáticas.
Se practicó el estudio necrópsico donde se observó que el riñón derecho estaba aumentado de tamaño aproximadamente 145×120 mm y el izquierdo de 135×115 mm con aspecto de "masa de pescado" (Fig 1 y 2).

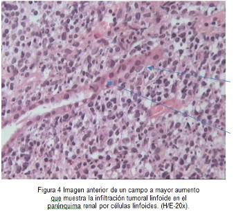
En el estudio microscópico se constató que se trataba de un LNH linfocítico de células B sin evidencia de otra localización neoplásica (Fig. 3, 4,5).



El primer caso de linfoma renal primario fue descrito por Knoepp en 1956 3. La afectación linfomatosa de órganos genitourinarios se presenta en el 3 % de los casos, existiendo la localización más frecuente, en el testículo 3. En la serie de Freeman, de 1467 pacientes, sólo se encontró lesión renal en el 0,7 % 4. El mecanismo por el cual se produce la insuficiencia renal en los linfomas renales primarios no Hodgkin no está claramente establecido; algunos investigadores sugieren que el fallo renal se produce por la infiltración linfomatosa difusa, mientras que otros postulan que, la densa infiltración tumoral del parénquima renal provocaría una compresión de los túbulos y afectación de la vascularización renal 1-3, esto explicaría la ausencia de proteinuria, hematuria, células tumorales en orina y el aumento de la cifra de creatinina de forma rápida 5, como pudimos apreciarlo en la paciente reportada. Suele afectar a adultos entre 43 y 79 años y se ha encontrado un ligero predominio en varones 4, nuestra paciente era femenina, de sólo 40 años.
Considerando a los linfomas como neoplasias malignas, originadas en los ganglios linfáticos o en el tejido linfoide de los distintos parénquimas, teniendo en cuenta que el parénquima renal carece de tejido linfoide, no es de extrañarse que se cuestione la existencia del linfoma renal primario como entidad propia 6. Para ello se señalan los criterios de Malbrain 7 que son: 1) Insuficiencia renal aguda como manifestación inicial 2) Nefromegalia bilateral sin obstrucción y sin afectación de otros órganos 3) Diagnóstico por biopsia renal 4) Ausencia de otras causas de insuficiencia renal aguda, y 5) Recuperación rápida de la función renal tras la quimioterapia. La mayoría de estos criterios observados en la paciente.
Clínicamente se manifiestan como cualquier tumor renal es decir dolor en flanco, hematuria, afectación del estado general, fiebre y/o hipertensión arterial, encontrándose el primero entre los síntomas más frecuentes e importantes 1-4, como comprobamos en este caso. Se ha descrito una mayor incidencia de neoplasias linfoides en pacientes con Sida, se han presentado casos de linfoma renal como primera manifestación de esta enfermedad 6. El linfoma renal debe considerarse ante masas renales atípicas o ante síntomas renales inexplicables 7. Tiene una alta agresividad con una rápida diseminación sistémica, observada en esta paciente. Se ha señalado que el estudio por el laboratorio de una LDH (Lactato deshidrogenasa) elevada con un cuadro de insuficiencia renal con nefromegalia bilateral debe plantearse como posibilidad diagnóstica el de un linfoma renal 5 como lo hemos valorado en este caso. La ecografía demuestra un patrón de área hipoanecoica uniforme con márgenes bien definidas; la apariencia de TAC es de una o múltiples lesiones pálidas con un coeficiente de absorción de baja densidad con posible infiltración o contigüidad de masas retroperitoneales en el 25 % de los casos 9; la resonancia magnética nuclear (RMN) no ha demostrado ventajas diagnósticas en su utilización 9. La arteriografía renal solo en algunos casos podría orientar en el diagnóstico diferencial con otros tumores 9. La biopsia renal es útil en caso de duda entre linfoma y adenocarcinoma renal. Tornroth et al 10 en 60 casos reporta la mayor parte de ellos, diagnosticados mediante esta técnica, pero Stallone et al 11 en una revisión de la literatura demuestran que sólo 28 de los 60 casos publicados como linfoma renal primario cumplen todos los criterios de Malbrain. El estudio inmunohistoquímico es determinante en el diagnóstico del linfoma así como de su estirpe T o B; en este caso se confirmó el LNH linfocítico de células B.
El diagnóstico de certeza es anatomopatológico debiendo realizarse mediante punción – biopsia, aunque en la mayoría de los casos se establece tras nefrectomía en el estudio de la pieza quirúrgica ya que en numerosas ocasiones este tipo de linfoma puede presentarse como una masa renal con imágenes con características parecidas a la del cáncer renal 4. En una serie de 621 pacientes con LNH a los que se practicó autopsia existía afectación de uno o ambos riñones en el 40 % de los casos 12. En cuanto al tratamiento, la mayoría de los autores coinciden en la combinación de resección y quimioterapia sobre todo si existe afectación ganglionar con ciclos de ciclofosfamida-doxorrubicina-vincristina-prednisona (CHOP), así como ifosfamida-etopósido-bleomicina con o sin radioterapia; siguen siendo la mejor opción 1-3,8-11
El linfoma renal primario es muy raro. El diagnóstico se realiza mediante estudio histopatológico por biopsia renal en el acto quirúrgico o en hallazgo necrópsico aunque con frecuencia se presenta como un tumor simulando un cáncer renal y es diagnosticado en la mayoría de las veces por nefrectomía radical, la mayor frecuencia está representado por LNH de células B como el caso que nos ocupa. Este caso cumple los criterios fundamentales de Malbrain para considerarlo como un linfoma no Hodgkin. El diagnóstico se realiza mediante biopsia renal, durante la cirugía o necropsia por estudio anatomopatológico.
Recibido: 2015-01-22
Aprobado: 2016-02-24